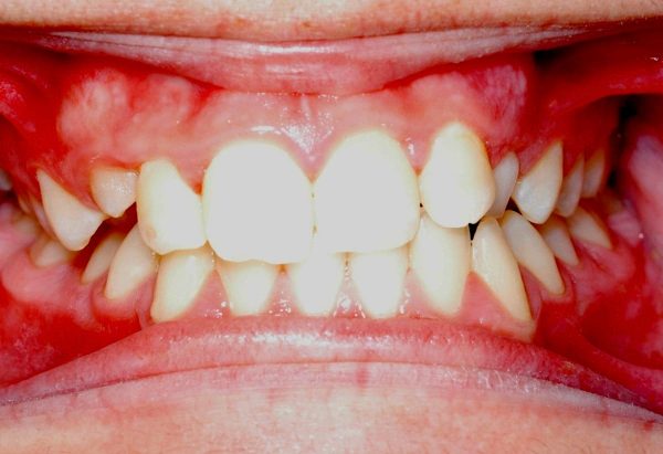
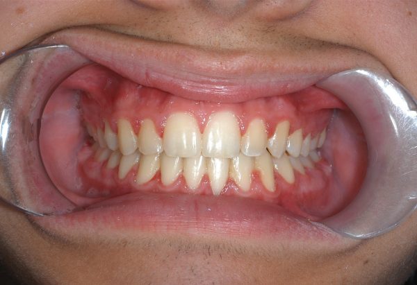
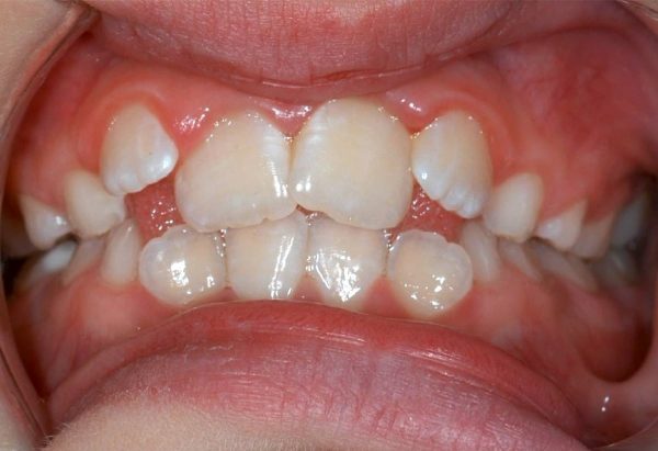
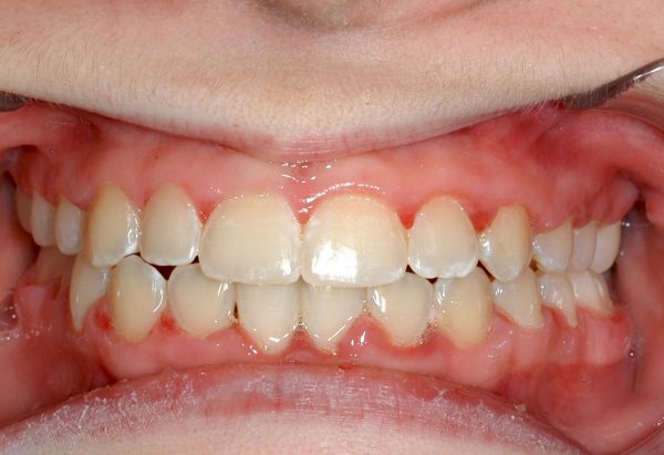
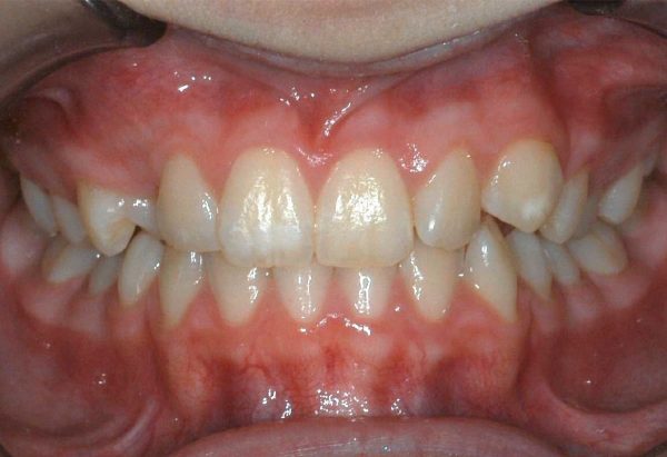
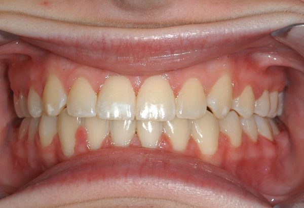
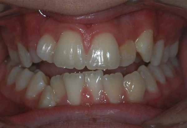
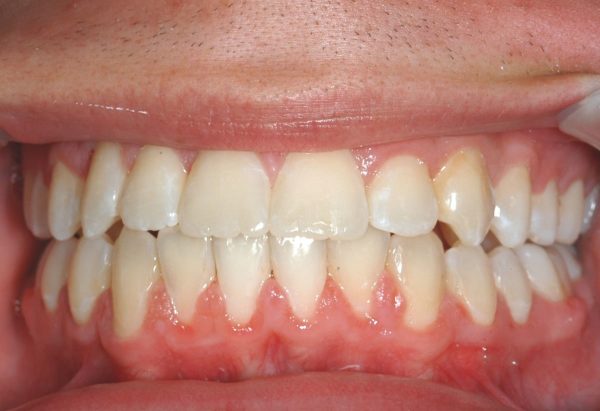
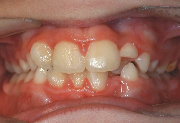
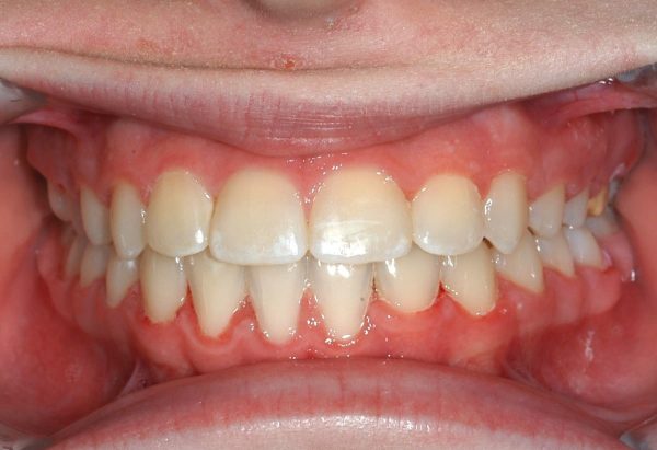
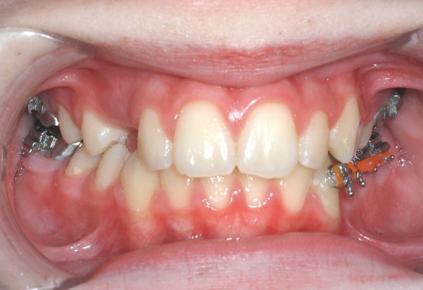
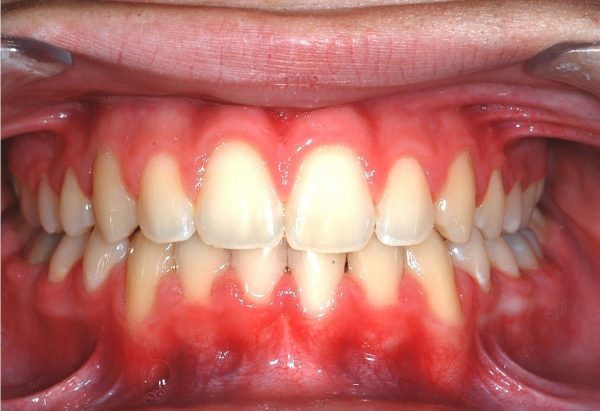
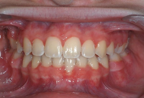
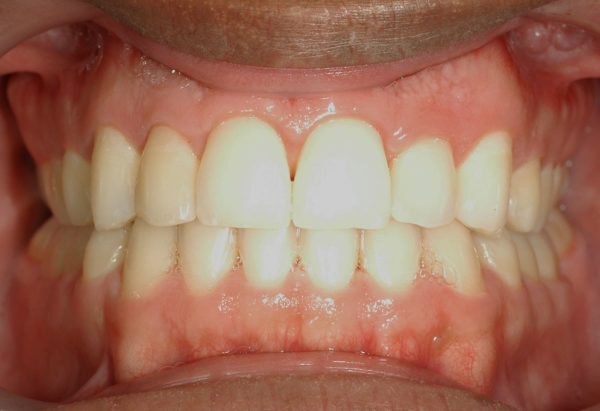
See the Smile Difference
Every smile tells a story, and here are a few amazing before and after pictures of patients treated by Dr. Rajanna and our Lakewood Orthodontics team.
We serve patients of all ages around Lee’s Summit and Mission for orthodontic treatments like braces and clear aligners.















